中国新闻社
中新网分类新闻查询>>

本页位置:首页>>新闻大观>>国际新闻
放大字体  缩小字体

乌代库赛"遗容"惨不忍睹 公布照片未解三大疑问

2003年07月26日 09:00

乌代
库塞
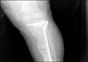
乌代伤腿的X光照片

  中新网7月25日电 尽管7月24日美国“违心地”将惨不忍睹的“萨子”遗容照片公诸于众,力求“安抚人心”,以此削弱反美势力,但是当伊拉克人从电视上看到血污满面、千疮百孔的死者照片时却似乎并不买账。

  7月24日,美国国防部通过由美国资助的伊拉克电视台、两家阿拉伯卫星电视台以及美国本土的CNN(有线新闻网络)将萨达姆的两个儿子乌代和库赛遭美军击毙惨死的照片公诸于世,同时被曝光的还有1996年乌代遇刺后所拍的伤腿的X光片。据悉,近60的伊拉克人收看这档节目。此前,美军中央司令部的里卡多·桑切斯中将在巴格达举行新闻发布会时说,判断乌代和库赛被打死的依据是在现场发现的牙齿以及曾任萨达姆助手的目击证人的指认。

  美军此番公布的照片是两具上身裸露躺在裹尸袋里的男子尸体,从尸体遗容照片来看,乌代和库塞的脸部都遭到了严重毁坏,两人都留有浓密的络腮胡子,显然是为了伪装。兄弟俩都得脸朝上,双目紧闭,其中库塞的脸部要相对完整,他的嘴巴微张显出牙齿,似乎有些死不瞑目。

  而乌代的遗容可谓惨不忍睹:眼脸因为淤血而显得浮肿并呈绛紫色,一条深褐色的伤口从其左眼一直贯穿到嘴巴右下角,光秃秃的脑门上伤痕累累,可能是被导弹的碎片划伤的。最为显然的是其前额右上方一个汩汩地向外喷涌着鲜血的弹孔,他究竟是被美军开枪打中的,还是自杀身亡依然是个谜。

  质疑1:这是乌代和库赛吗?

  美国国防部将萨达姆的两个儿子照片公诸于世,本想是“取信于民”,可是曾在1991年时吃过萨达姆“诈死”苦头的伊拉克百姓却依然不敢对此轻信。

  巴格达一小饭馆里电脑工程师贾希姆·罗拜正与两个朋友分享冰淇淋馅饼,看过照片之后他不以为然地说,“这只不过是美国人用来瓦解抵抗力量的一个花招。”他认为,仅从照片上来看,并不能确认乌代和库赛已经被美军双双击毙了。

  44岁的阿巴斯·法德希尔在巴格达经营着一家理发店,他说当他从伊拉克电视台上看到美军公布的照片之后大致可以认定这便是乌代兄弟俩。但是他依然存有疑问:“为什么美军不多公布几张遗容照片呢?比方说,可以公布几张两兄弟的侧面照,这样就会更有说服力一点。”他特别指出,由于库塞的遗容保存得尚算完好,因此完全可以提供他的清晰的侧面照。

  32岁的阿拉·哈利发是这家理发店打工的理发师,他一边为顾客修着面一边告诉记者,他之所以怀疑照片上的乌代是其本人,是因为照片上的那人显得过于肥胖。他说,“谁都知道乌代个子很高,身材修长,但是从照片上看那人却是五短身材,长得五大三粗的。”

  对遗容照片持怀疑观点的不止是伊拉克平民百姓,来自美国堪萨斯州某家犯罪实验室的法医专家乔尼·威尔逊(Johnnie T. Wilson)说,“那些照片对于法庭认可的身份鉴定并无多大帮助。”其他的法医专家也认为,仅从美军公布的那几张遗容照片来看,照片上所提供的生理特征还不足以鉴定死者身份。最终的结果还有待尸检报告出来后才能下定论。

  质疑2:谁在行“不仁之举”?

  就在一部分伊拉克质疑照片真伪的同时,阿拉伯世界的另一种声音却认为,即便照片是真的,将它们公布出来也属“不仁之举”。

  约旦政治分析家沙哈·卡塞姆(Sahar al-Qassem)认为,“当初伊拉克电视播出阵亡美军尸体时,美国人认为那是侵犯人权。可是现在,他们为什么不问问自己,公布那么不忍卒睹的照片不同样惨无人道吗?”

  伊拉克战争开战之初,阿拉伯媒体曾因刊登美军俘虏惨死照片而招致五角大楼的强烈谴责,被认为是非人道行为。其实,电视、杂志和报纸上公布死者的照片在中东早已见怪不怪了,随便打开这里的媒体便会发现,这里死者照片的曝光率要远远高于美国媒体,且不说巴以冲突中遇难者的现场照片,沙特阿拉伯和伊朗的媒体还会时不时公布一切处决罪犯的照片,据说这只是出于“震慑”的目的,并非什么“不仁之举”。

  在24日五角大楼举行的记者招待会上,有记者拉姆斯菲尔德质疑美军公布死状那么难看的照片,与开战之初五角大楼的谴责岂非自相矛盾?拉姆斯菲尔德回答说,他的确曾为是否公布这些照片而“踌躇再三”,几经权衡才决定公布,因为“只有这样阿拉伯人民才会相信萨达姆的儿子已经死亡”。

  质疑3:遗容照片能起多大“震慑”作用?

  美军原本指望公布乌代和库塞的死讯能够多少打击一下伊拉克抵抗力量的“嚣张气焰”,可是就在拉姆斯菲尔德和美国驻伊最高文职行政长官布雷默24日出席记者招待会之前的当日,3名来自第101空降师的官兵因其所乘坐车队在伊拉克境内遭到机关枪和火箭的袭击而丧生,而他们所在部队正是负责击毙萨达姆子孙的主要力量。

  对于美军一而再再而三受到的游击式袭击,布雷默24日宣称,“希望伊拉克人能够接受乌代和库塞已被击毙的现实,对于针对美军的暴力有回升的势头,我并不感到吃惊。从长远看,我们希望更多的伊拉克人向我们提供阿拉伯复兴社会党成员的下落,从而降低美军目前在伊拉克所承受的威胁。”

  人们不禁要问,即便将来除了萨达姆这样的反美“精神领袖”,伊境内的反美游击队武装就果真能被“斩草除根”吗?公开乌代和库塞遗容的做法,究竟能在多大程度上起到“震慑”作用实在让人怀疑。(麦吉尔/春风)

  

 
编辑:李静

相关报道:美军公示乌代兄弟尸体 伊敢死队誓言血债血偿 (2003-07-25 22:22:27)
          乌代库赛的尸体会被葬在那里? 美军遇棘手问题 (2003-07-25 21:45:27)
          公布照片后 美军在巴格达展示乌代库赛尸体(图) (2003-07-25 19:49:59)
相关专题:伊拉克战争

  打印稿件

本网站所刊载信息,不代表中新社观点。 刊用本网站稿件,务经书面授权。