英国女老板磨牙成瘾张不开嘴 植入“钛下巴”

现年50岁的英国女子托妮•克拉克后来不得不选择手术,以治疗疾病。

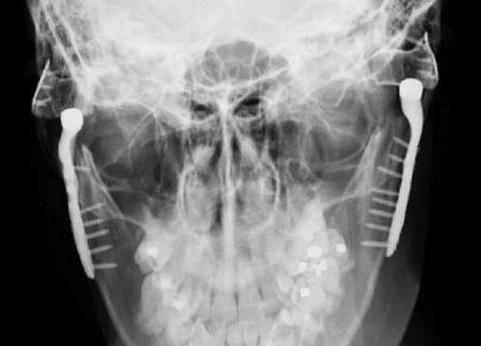
“钛下巴”植入示意图。
中新网12月19日电 据外媒18日报道,现年50岁的英国女子托妮·克拉克磨牙成瘾,以至于到后来她都张不开嘴巴。无奈之下,外科医生为她植入了一个钛制下颚,托妮如今才得以开口说话、咀嚼进食。
据报道,托妮是一家三明治商店的老板,由于销量下滑、经营不善,受此压力影响,托妮在睡觉时养成磨牙的习惯。
最初,托妮只是偶尔磨牙,但是随着商店每况愈下,她出现了肌张力障碍症状——持续的肌肉收缩引发咬合重复运动,磨牙随之成为习惯性动作。
到后来,托妮的嘴巴只能处于闭合状态,无法进行饮食动作,只有通过吸管吃流食。
来自英国诺丁汉的托妮随后接受了一个罕见的下巴“重置”手术。医生将一副价格高达1.6万英镑(约合15.8万人民币)的钛板材植入到她的下巴里。
报道称,虽然手术非常成功,但是托妮的麻烦仍在继续,肌张力障碍还是让她的下巴“不听使唤”。此后,她又接连用吸管饮食,一共花了4周的时间才克服这一神经系统的紊乱。
【编辑:董煜坤】
>国际新闻精选:





















