少女将10公分钢笔吞下肚 半年后取出笔被胃酸腐蚀

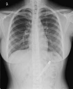
从X光片,可看到这支钢笔卡在胃中。来源:台湾《联合报》
中新网6月30日电 据台湾《联合报》报道,台湾一名患有忧郁症的20岁少女,半年来久咳不愈,胃部疼痛,向医生求助,医生为她照X光,发现胃部竟有一支约10公分长的笔,花了约一个小时,用内视镜异物夹将笔夹出,笔身都已生锈。
台湾荣总员山分院内科部主任朱正伟说,这支笔长度约10公分,已经被胃酸腐蚀,依照病人所说,留在少女胃部可能已经半年,若迟未取出,严重的话恐怕会造成腹膜炎,进一步危及生命。
【编辑:丁文蕾】
>台湾新闻精选:





















