六旬老汉被鱼刺刺入心脏 医生开胸将其取出(图)
参与互动(0)
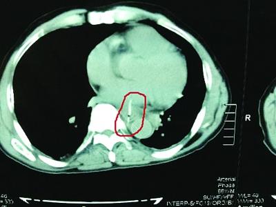
心脏中的鱼刺。
近日,南京市胸科医院四病区收治一例鱼刺经食管刺入心脏的罕见病例,医生手术开胸将鱼刺取出,同时修补了左心房和食管。此类病例极为罕见,国内外少有报道。
鱼刺刺入心脏1厘米深
来自扬州的刘师傅,今年66岁。3天前吃鱼后,感到胸痛难忍。在当地医院拍摄胸部CT,发现食管下段有一根细长骨性高密度影,医生询问后,怀疑可能是鱼刺造成的。反复做二次胃镜,看见一根粗鱼刺刺穿食管,横跨在食管中间。考虑周围都是心脏和大血管,当地医院不敢贸然拔出。正在寻求办法之时,患者症状突然发生变化,左侧偏瘫行动困难。
复查胸部CT,发现鱼刺前段经心包和左心房后壁,已深深刺入心脏,进入左心房约1厘米。由于已经形成血栓,栓子脱落,造成患者突发脑梗塞。
手术仅出血100毫升
病情极为复杂,因鱼刺前方已刺入心脏,而后方对着的就是降主动脉。在手术取出鱼刺的同时,随时有可能出现心脏和主动脉的大出血,危及病人生命。即使手术顺利,因术中心脏内血栓随时可能会再次脱落,加重脑梗塞或造成其他脏器的梗塞,同样会危及病人生命。
但如果不手术,患者可能随时因大出血死亡,根本就没有生还的机会,在和患者家属进行积极和有效的沟通后,家属坚决要求手术,哪怕有万分之一的机会也要手术尝试一下。
1月5日,南京市胸科医院的外科专家,仅用一个半小时,就顺利取出一段4厘米长鱼刺,并把左心房后壁一约绿豆大小破口成功修补,术中仅出血100毫升。
由于是开胸的大手术,刘师傅的胸部会留下23厘米的切口。然而如此大的手术,为何出血量那么少呢?对此,南京市胸科医院四病区刘锋主任解释说,术前反复研究过多种手术方案后,经过精心的术前准备。比如取鱼刺的时候,他们采用了“荷包缝合”的技术,像缝一个口袋一样,取刺后拉紧缝线打结,这样不仅抢到时间,还大大减少了出血。
老年男性最易出现鱼刺危险
刘锋主任说,去年至今,科室已经做了5例开胸取鱼刺的手术,这些患者年龄都在60岁以上,都是男性。这是因为男性在吃东西方面没女性那么细心,咀嚼不充分,在饭桌上话也比较多;老年人随着身体机能的衰退,对鱼刺的敏感性下降。如没有及时就医,鱼刺可能刺破主动脉等大血管,患者将会在数分钟内死亡。(通讯员 倪静 陈美云 扬子晚报记者 于丹丹)
>社会新闻精选:




















